体检单上多了“肺结节”四个字,心口也会跟着一紧。有人反复翻报告,反复对照搜索;有人在“观察—担心—再复查”的循环里睡不好、咳两声就更怕。其实,大多数结节是良性的影像“影子”,它出现、它稳定、它被记录,并不等于坏消息。真正需要提高警觉的,是报告里少数几个提醒风险的词语——懂得辨认,恐惧就有了边界,接下来的每一步也更从容。
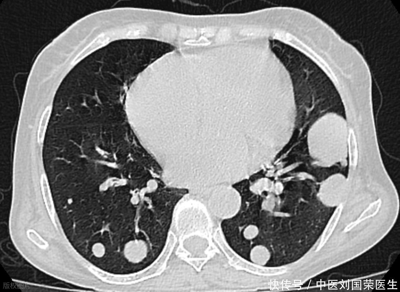
“结节”是一种影像学描述,像在肺里按下一个小小“书签”:尺寸多在毫米级,来源可能是陈旧炎症、瘢痕、灰尘沉着,甚至一次感冒后的修复痕迹。它们常年不变或缓慢淡出,这类“安静结节”无需过度解读。真正拉高风险感受的,是报告里出现某些“字眼”:毛刺提示边缘像小刺不够圆顺,分叶说明轮廓起伏像被掐过的叶片,胸膜牵拉意味着周边组织被轻微拉扯,血管集束像几束小血管朝结节汇拢,实性成分较多时密度更高、可疑度更上一个台阶,短期增大则是时间轴上的红灯。这些词并不等同“恶”,却会把结节放进更严密的随访与评估路径里:医生会结合大小、密度、形态、所在肺段以及你的吸烟史、家族史,来判断“观察—复查—进一步检查”的顺序,而不是一看到结节就谈“切”。
影像随访像给时间加刻度。对稳定、边界清楚、体积小的“安静结节”,复查间隔可相对拉长;若合并上面提到的高警觉词语,或位于高风险人群(如长期吸烟、既往肿瘤史),复查就会更密:先看短期是否“长相变了”,再看半年到一年的趋势是否“性格变了”。CT不必层层叠加成“影像焦虑”,关键是用同一设备、相近参数对比,避免因拍摄差异造成“假增大”。当医生建议进一步行薄层CT、定位扫描或功能评估时,这并非“坏结果宣布”,而是为了把模糊的影像语言翻译得更清楚。
很多人“等复查”的日子过成了“等判决”。不妨把可控因素先稳住:如果还在吸烟,尽早戒断能立刻降低新发与进展风险;居家通风、减少油烟与粉尘暴露,让肺少受一点刺激;规律运动与体重管理,改善呼吸与循环的“底层设置”;别把咳嗽、气促、咯血等变化当成“感冒拖着就好”,症状与复查时间轴要互相校对;同时警惕过度体检与“跨院跳拍”,一份标准化的连续影像胜过好几份彼此难以比对的“快照”。当焦虑上头,建立一个“问题清单”—我担心什么、下一步核对什么、多久复盘一次—让情绪也有路径可循。
与其被想象吓倒,不如让证据说话:读懂报告、遵医嘱随访、守住生活习惯这三步,足以覆盖大多数结节的生命周期。记住:可怕的从来不是“结节”三个字,而是我们在未知面前的无序。把未知变成已知,把担心变成计划;若报告里没有那六个“警觉词”,就给自己一次深呼吸;若出现了,也只是提醒我们把节奏放慢、把照看做细。愿你的每一次复查,都在向“没事”走近一小步。
51配资-上海配资网-配资在线炒股-股票配资提示:文章来自网络,不代表本站观点。